Klinik Gigi Dasiyoung di Namdong-gu: Pengalaman perawatan gigi berlubang yang nyaman dan ramah.
2026.03.05 09:34
memeriksa 76saran 0membatalkan 0
Saya datang untuk perawatan gigi berlubang dan pembersihan karang gigi. Saat pertama kali tiba, interior rumah sakit terasa bersih dan rapi, dan ruang tunggu relatif nyaman. Staf resepsionis ramah dan membantu, yang membantu mengurangi kecemasan saya.
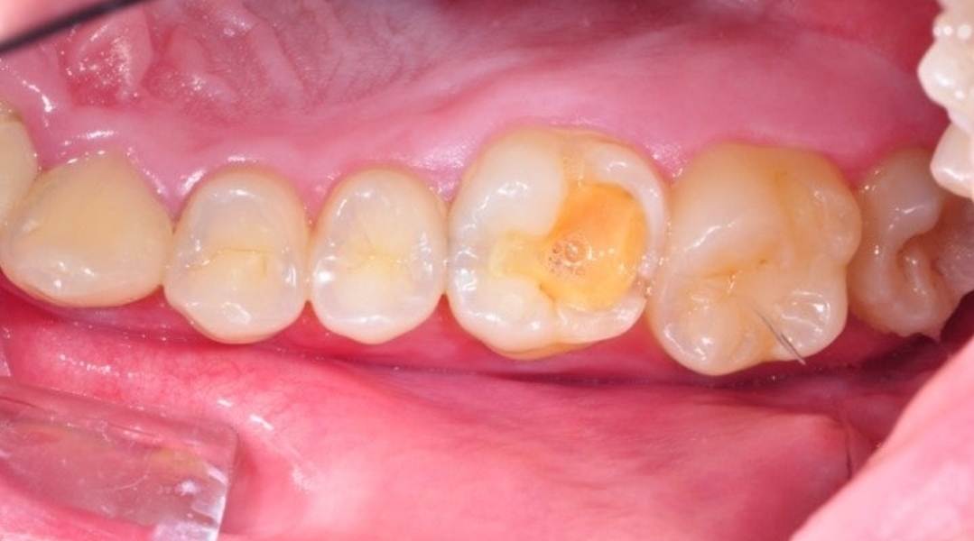
Selama konsultasi pra-perawatan, dokter gigi menjelaskan kondisi gigi saya saat ini dengan foto dan memberikan informasi yang cukup rinci tentang pilihan perawatan dan perkiraan biaya. Saya tidak merasa mereka terlalu banyak merekomendasikan perawatan, dan saya menghargai bahwa mereka fokus pada pemberian perawatan yang diperlukan. Bahkan selama proses perawatan gigi berlubang, mereka secara berkala memeriksa kondisi saya untuk meminimalkan rasa sakit, yang sangat meyakinkan.
Setelah perawatan, saya diberi instruksi tentang tindakan pencegahan dan metode penanganan, dan saya terkesan dengan penanganan yang sistematis, bahkan menjadwalkan kunjungan tindak lanjut terlebih dahulu. Namun, saya disarankan untuk datang dengan waktu luang yang cukup, karena mungkin ada sedikit antrian selama jam sibuk.
Secara keseluruhan, saya terkesan dengan konsultasi yang ramah dan perawatan yang relatif menyeluruh, dan terasa seperti klinik gigi yang layak untuk perawatan gigi berlubang dasar dan pemeriksaan rutin.
Selama konsultasi pra-perawatan, dokter gigi menjelaskan kondisi gigi saya saat ini dengan foto dan memberikan informasi yang cukup rinci tentang pilihan perawatan dan perkiraan biaya. Saya tidak merasa mereka terlalu banyak merekomendasikan perawatan, dan saya menghargai bahwa mereka fokus pada pemberian perawatan yang diperlukan. Bahkan selama proses perawatan gigi berlubang, mereka secara berkala memeriksa kondisi saya untuk meminimalkan rasa sakit, yang sangat meyakinkan.
Setelah perawatan, saya diberi instruksi tentang tindakan pencegahan dan metode penanganan, dan saya terkesan dengan penanganan yang sistematis, bahkan menjadwalkan kunjungan tindak lanjut terlebih dahulu. Namun, saya disarankan untuk datang dengan waktu luang yang cukup, karena mungkin ada sedikit antrian selama jam sibuk.
Secara keseluruhan, saya terkesan dengan konsultasi yang ramah dan perawatan yang relatif menyeluruh, dan terasa seperti klinik gigi yang layak untuk perawatan gigi berlubang dasar dan pemeriksaan rutin.


0
0
komentar 0









