logo

Will anti-inflammatory medication be effective for gum inflammation?

Is it okay to only take anti-inflammatory medication for gum inflammation?

 

Dad keeps saying that his gums are constantly throbbing.

I told him there was nothing I could do for him, so I suggested he go to the dentist.

However, you said you don't want to go to the dentistㅠㅠ

 

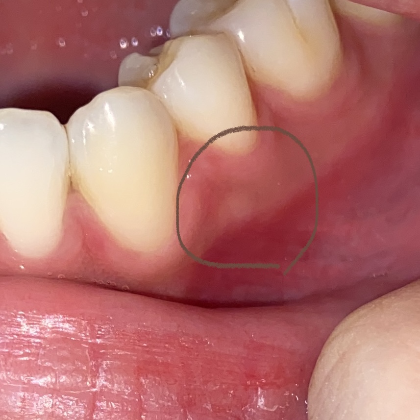
잇몸에 하얀 부분이요, 혹시 잇몸 염증 초기일까요? ㅣ 궁금할 땐, 아하!

 

Of course, I will take you to the dentist, but if the anti-inflammatory medication for gum inflammation is effective

I'm planning to give you at least an anti-inflammatory medicationㅠㅠ

 

Which anti-inflammatory medication is the best for gum inflammation?

If I just ask for an anti-inflammatory medication that is good for gum inflammation at the pharmacy, will they give it to me?

Is it okay to take Tylenol?

 

치통과 잇몸통증 약 타이레놀, 이부프로펜 조합 : 네이버 블로그

 

It seems that Dad is hesitant to go to the dentist because he's worried about the high treatment costs.

You should go to the dentist before it hurts more.

So, I will definitely go to the dentist within this week!

5
0
komentar 15
  • gambar profil
    강미형
    이런건 잠시뿐 치과가서 치료받으시는게
    좋을것 같아요
  • gambar profil
    불백맘마
    잇몸염증 소염제 효과 좋아요!
    타이레놀 복용하시고, 최대한 치과 빨리 가세요!!
  • gambar profil
    사남매엄마
    잇몸염증 소염제 탁센(?) 이거 괜찮던데요?
    타이레놀로도 안되면 약국 가서 탁센 얘기해보세요~
  • gambar profil
    써니
    아플때 바로 가는게 좋아오
    그래야 돈도 적개 들어요
  • gambar profil
    저녁노을
    잇몸염증에 항생제를  먹어야 하는걸로
    알고 있어요
    치과는 빨리 갈수록 좋아요
  • gambar profil
    담율로
    진통제 드시고 
    꼭 치과도 다녀오세요 
  • gambar profil
    와라우cashdoc
    잇몸염증도 우습게 보면 안됩니다. 이도 중요하지만 잇몸도 중요합니다  잇몸이 무너지면 이가 견디지 못하니깐요.
  • gambar profil
    루루
    치과 내원이 우선이고 최선입니다.
  • gambar profil
    구름방울
    염증 위 치아에 충치는 없나요?
    충치가 깊어져 신경까지 염증이 심해지면
    저렇게 잇몸이 붓고 피나고 곪기도 하더라구요
    타이레놀은 소염효과가 없어요
    타이레놀은 아세트아미노펜이 주성분인데 이건 해열 진통효과만 있거든요. 
    물론 진통효과가 있으니 당장에 통증은 줄일 수 있죠.
    소염 효과를 기대하신다면 브루펜계열의 덱시부프로펜이나 이부프로펜 진통제를 복용하셔야 하는데
    소염 진통 해열에 효과적이기때문에 통증도 잡고 염증도 줄여줄겁니다
    다만 당장에 염증을 조금 줄여주는거지 절대 치료하는게 아니에요
    아마 약 드시면 이제 안아프다며 더 안가여고 하실지도..
    부모님들은 꼭 그러시더라구요. 몸보다 돈 생각하시고 ㅜㅜ
    저는 유학시절 치과 갈 수 없어서 치통 꾹 참았다가
    귀국해서 치료하느라 한달 넘게 걸렸어요
    돈 시간 고통 ㅜㅜ 그치만 끝나고나니 진짜 살겠더라구요
    맛있는거 편하게 먹는게 얼마나 큰 행복인데
    얼른 치료 받으시고 건강 되찾으시길 바라요~
    
  • gambar profil
    냥냥이
    치아 문제가 아니고 잇몸 염증 같은데 궂이 치과 안가셔도 되요. 동네 의원 가셔서 증상 얘기하면 소염제 포함한 약 처방해 줍니다.타이레놀 보다는 처방 받으셔서 약 지으시길 추천해요
  • gambar profil
    거친 찔레꽃
    치과가셔서 치료 하시는게 
    고생 덜하실텐데
    얼렁. 모시구 가보셔요
  • gambar profil
    초이
    치과는 늦게 갈수록 손해네요
    아버님 잘 달래서 고고하세요
  • gambar profil
    고래쉼터
    ㅈㅓ 염증이 치아 뿌리쪽에 가깝다면 나중에 치아 뿌리를 녹여버립니다. 결국 신경 치료해야 하는 상황이 오거든요. 염증 초기라면 언능 치과 ㄱㄱ 
  • gambar profil
    머랭이
    치과는...아프기전에 가야해요.
    아프고가면 치료도 오래걸리도 돈도 많이 들어가네요 
  • gambar profil
    아침햇살77
      응급조치 후 치과 한번 가 보심이...
    잘 해결 하세요
    
    
    캐시홈트 , 요즘 많은 사람들에게 인기죠. 건강도 챙기고, 시간을 효율적으로 쓸 수 있어 좋아요. 집에서 쉽게 할 수 있어서 딱입니다. 기구 없이  다양한 운동이 가능해  부담도 적어 좋아요.
     운동 결과를 공유하며 동기부여를 얻는 것도 큰 장점이네요.체력도 좋아지고 스트레친에 도움이 돼요.건강을 지키며 일상에 활력을 줄 수 있어요. 캐시홈트로 건강하고 활기찬 할 시작합니다!
    캐시홈트들 많이 하시네요.저도 참여하고 있습니다.  타이레놀 얘기 많네요.. 저도 두통엔 타이레놀...
    
     여름 이 왔네요아침저녁으로는 아직 걸을만해요 대단하세요..2염천에 만보걷기 하셨군요 수고하셨어요 장마 불구,, 걷기가 무난하고 기본 같아요 수고하셨습니다 덥지만 이번주도 걷고 달려봅시다! 열심히운동 하시네요.  잘하셨어요. 걸으면 몸에 좋죠, 가장 기본운동 중 하나구요  열심히 하시네요 좋은 습관 만드셨어요, 이어 꾸준하게 하시기 바랍니다
    
    계단오르기요.. 가까이 있고 언제나 오를 수 있는 최고운동 중 하나죠~ 계단오르면 좋은지는 잘 아는데 저는 힘이 드네요. 계단 오르기 꾸준히 하시면 건강에 너무좋아요. 계단 오르기요, 힘들지만 건강을 위해서 조금씩 해 봅니니다. 계단 운동, 어렵지만 저도 근력보강을 위해 도전해봅니다.꾸준히 하면 큰 효과 있을거 같아요. 건강을 위해 도전!
     
     물마시기 수분 보충에 중요하죠~열심히 마셔보려구요~ 기상하고 물마시기 좋은 습관 같아요 .공복에 물 한잔 마시는 습관, 정말 좋은 행동 같아요~ 기상 첫 시작이 물이죠 저도 오늘 물 먹고 시작했어요!!
     
    영양제 한 알로 건강을 챙기세요. 몸에 좋은 영양소가 많아요. 비타민 좋아요.오메가-3는 건강에 필수예요. 비타민 건강에 꼭 필요하죠.철분은 피로를 덜어줍니다.마그네슘은 근육 이완에 좋아요. 멀티비타민은 종합적으로 좋아요.식사 후에 드시면 흡수율이 높아요.꾸준히 섭취하는 것이 중요하죠~.몸 상태에 맞게 선택하세요. 과다 복용은 피하세요. 자연식과 함께 드세요.균형 잡힌 식단이 우선입니다.영양제는 보충제로 생각하세요.건강한 생활 습관이 중요해요.운동과 함께 챙기세요.
      챌린지 걷기 하고 포인트 받으셨어요.. 축하드립니다 러닝크루.. 힘들지만 유익한 운동이죠~
     맛있게 건강식 한끼 드셨네요 맛있어 보입니다  건강한 식단이네요 오늘도 건강한 하루 되세요 건강한 음료를 드셨네요  즐거운 하루 되세요  식단관리 잘해주시네요. 화이팅하세요    건강한 한끼를 드셨네요  즐거운 하루 되세요 좋아보이네요 
    
    
    
    간식 좋죠 가볍게 한끼 좋네요~ 콩 단백질 잘 드셨습니다
    챌린지 하셨네요. 마감 잘 하셨습니다 동네산책.. 중간 거르지않고 잘 해 가시네요~~
    챌린지 참가 하셨네요. 끝까지 마감 응원합니다