
치과
더케이365치과병원
- 평점
- 4.5
- 후기 수
- 후기 34
- 팔로워 수
- 팔로워 7
- 소개
- 병원이 등록한 소개입니다. 2025.09.04
계양구 유일 치과병원, 대학병원급 분과별 진료, 7개 분과, 전문의 통합 진단, 2차 의료
- 진료시간
휴진
- 월
- 휴진
- 화
- 휴진
- 수
- 휴진
- 목
- 휴진
- 금
- 휴진
- 토
- 휴진
- 일
- 휴진
- 공휴일
- 휴진
- 평일 점심시간
- 정보 없음
- 주말 점심시간
- 정보 없음
- 진료 특이사항
- 주말, 공휴일 점심시간 없이 진료
- 전화번호
- 1555-3650
- 진료과목
- 치과
시술 상품 (7)
방문 인증 후기 (48)
방문 인증 완료
전
전
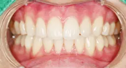
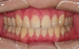
#원래 내 이 같은 편안한 임플란트임플란트 첨이라서 무서웠는데 치과 여러군데 다녀봤는데 다른데는 무조건 뽑아야된다고 하는데 여기는 왜 뽑아야되는지, 빼고나선 어떤 치료 진행되는지까지 이해하기 쉽게 설명해주시네요 엄청 친절하게 설명해주시니 마음이 놓였어요 상담 선생님들 친절하고 잘해주시고 여기가 최고네요 병원도 엄청 크고 시설도 좋고 깨끗하고 체계도 잘 잡혀있는 것 같어요 감사합니다~
***25.01.111번째 방문방문 인증 완료
전
#인천) 황니 탈출 프로젝트스케일링 받으러 갔다 미백 상담했는데 후기보고 믿음이 있던 터라 미백 진행해봤어요 당일에 바로 되고 친구들이 미백 받으면 이 시리다고 해서 쫄았는데 전 하나도 안시리던뎅.. 그리고 효과 진짜 좋아서 뽀얀 치아가 돼서 신기해용
***25.05.121번째 방문방문 인증 완료
전
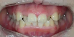
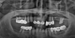
#원래 내 이 같은 편안한 임플란트엄마 임플란트 해드려야해서 모시고 갔는데 왠만한 치과치료는 다 가능하네요~ 동네에 큰 치과병원이 있어서 든든해요 원래 치아가 약하셔서 이번에 효도할겸 임플란트 해드렸는데 자세하게 검사 해주시고 잇몸 위치, 뼈상태부터 어떤 치료를 왜 해야하는지 까지 설명을 해주셔서 좋았어요~ 아빠도 의사선생님 기술이 좋은거 같다며 ㅎㅎ 엄마 부러워 하셔서 예약 잡았어요
***25.02.061번째 방문방문 인증 완료
전
전
#인천) 교정중에도 편하게 웃자교정 상담 갔다가 바로 교정 등록했어요 검사하는데 입 벌리고 있으니깐 제 입 생김새가 화면에 다 나오는데 부끄러우면서 신기했어요 ㅎㅎㅎㅎ 교정 진행과정도 자세하게 설명 잘해주셔서 감사합니다
***25.02.081번째 방문방문 인증 완료
전
전
#인천) 황니 탈출 프로젝트스케일링 오랜만에 받고서 미백 관심있어서 문의했다가 진행했는데 할때 이빨 시릴 수 있다고 주의사항도 설명 잘해주시구 평소에 커피 잘 안먹는데도 이가 누래서 싫었는데 이번 기회에 콤플렉스 해결했어요
***25.02.171번째 방문방문 인증 완료
전
#인천) 황니 탈출 프로젝트집에서 미백기계로 시도하다가 여러 번 돈만 버렸는데 치과에서 하는 미백은 완전 다르네여!!!! 진짜 치아 자신감 상승 ㅋㅋㅋ 이런거군여 역시 전문가에게 맡겨야하나봐요 미리 다음 세트 예약했어요
***25.02.021번째 방문방문 인증 완료
전
후
#인천) 교정중에도 편하게 웃자데스크 선생님들 친절하셔서 깜놀 ㅋ 진료실에서도 원장님 설명 자세히 해주시고 집가깝고 가격이 넘 괜찮아서 교정 진행하기로 했습니다 기대돼요
***24.11.071번째 방문
Q&A (0)
등록된 Q&A가 없습니다



